Skip to content
Home
About Dr. Ashish Sethi
Technology
Publications
Teeth in 1 day
Full mouth implants
Single arch
Segment
Full mouth rehabilitation
Single or few implants
Other dental treatments
Awards
Media
Before vs after
Patient reviews
Happy patients
Educational videos
Blogs
Home
About Dr. Ashish Sethi
Technology
Publications
Teeth in 1 day
Full mouth implants
Single arch
Segment
Full mouth rehabilitation
Single or few implants
Other dental treatments
Awards
Media
Before vs after
Patient reviews
Happy patients
Educational videos
Blogs
Contact us
Home
About Dr. Ashish Sethi
Technology
Publications
Teeth in 1 day
Full mouth implants
Single arch
Segment
Full mouth rehabilitation
Single or few implants
Other dental treatments
Awards
Media
Before vs after
Patient reviews
Happy patients
Educational videos
Blogs
Home
About Dr. Ashish Sethi
Technology
Publications
Teeth in 1 day
Full mouth implants
Single arch
Segment
Full mouth rehabilitation
Single or few implants
Other dental treatments
Awards
Media
Before vs after
Patient reviews
Happy patients
Educational videos
Blogs
Contact us
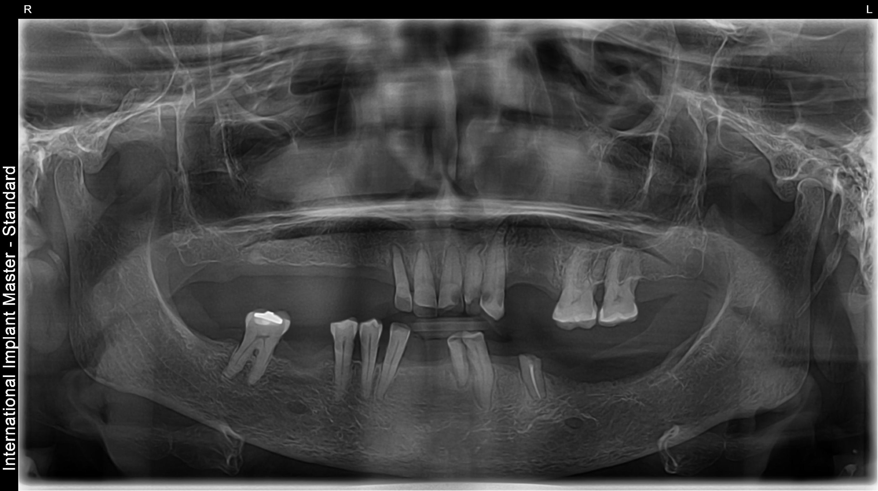
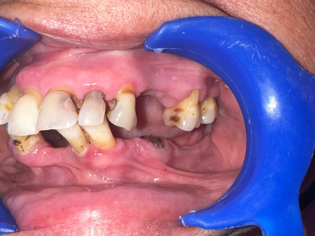
Full Mouth Implants
When patients have lost all teeth in both jaws, it is treated as a full mouth implant case.
Before treatment
After treatment
Before vs After Xrays
Before vs After Treatment Results
Looking for best dental implants near me ?
Contact Dr Ashish Sethi Today !
Happy Patients
Watch more
Expert Dental Care You Can Trust in Chandigarh
BOOK AN APPOINTMENT
First name
Last name
Email
Phone no
Message
Submit