A Pioneer in Same-Day Dental Implants in Chandigarh

With over 9,000 dental implants placed and 15+ years of experience, Dr. Ashish Sethi has become a trusted name in advanced oral implantology. A recipient of numerous national and international awards, he lectures globally and mentors dentists through his training academy.

He holds a Master’s degree in Immediate Loading Implantology from Switzerland and is the Founder & Director of ASIIM Implant Solutions and IIM Academy. His patented cortical implant design reflects his commitment to innovation and precision in implant dentistry.

Awards & Accolades

Dr. Ashish Sethi has received numerous prestigious awards for his pioneering work delivering the best dental implants in Chandigarh and across India.

Types of Dental Implant Treatments Offered by Dr Ashish Sethi

Dr. Ashish Sethi is widely recognized for his expertise in same-day dental implants, also known as teeth in 1 day or same-day implant and tooth in Chandigarh, offering advanced solutions using Swiss Cortical Implant technology.
Before imageAfter image
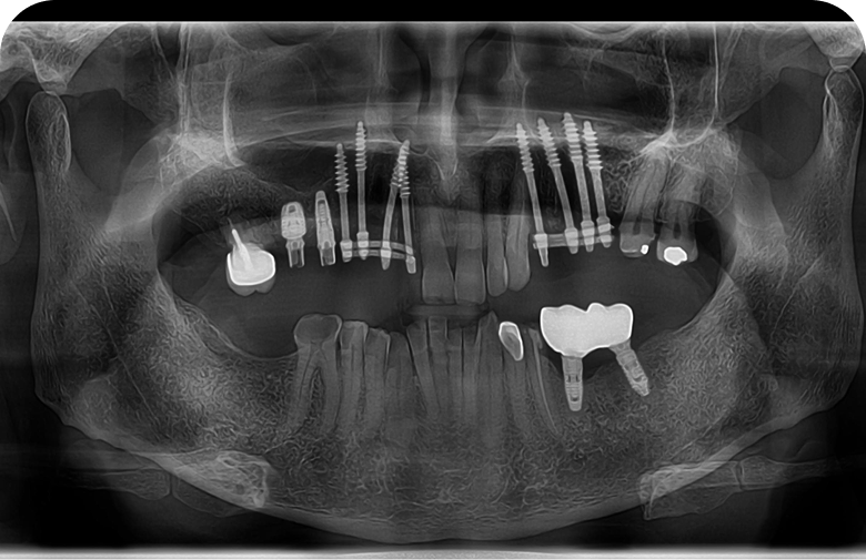
Full Mouth Implants
When patients have lost all teeth in both jaws, it is treated as a full mouth implant case.
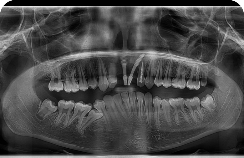
Single Arch
When teeth are missing only in the upper jaw or lower jaw, it is called a single arch treatment.
Before imageAfter image
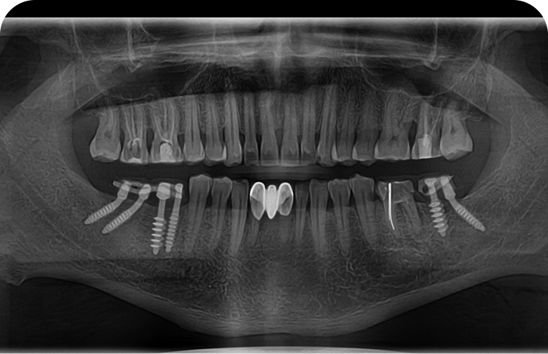
Segment
If a few teeth are missing in one section of the mouth, it is categorized as a segment case.
Before imageAfter image
Full Mouth Rehabilitation
This includes comprehensive dental work such as implants, crowns, root canals, and other restorations to fully restore dental health and aesthetics.
Before imageAfter image
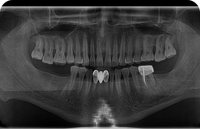
Single or Few Implants
When one or a few teeth are missing, single or multiple dental implants are placed to restore those specific areas

Looking for best dental implants near me ?

Happy Patients

Expert Dental Care You Can Trust in Chandigarh

BOOK AN APPOINTMENT